CKアイソザイムとマクロCK(12)

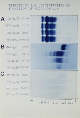
 複合体の相手がIgA ですのでIgA の濃度が違えればそうしたらどうなるかというのを in vitro で実験しました。IgA の濃度が一番上が1160 mg/dLでこれはモノクローナルなIgA の骨髄腫の患者さん血清ですが、これは1030 mg/dLポリクローナルな患者さんの血清、それから890 mg/dLポリクローナルな患者さんの血清、と正常な大人の血清をこの様なパターンになるようなMMとを混和致しまして、インキュベーションして見た訳です。この等電点電気泳動のIgA のパターンがちょっと見にくいかも知れませんが、これはモノクローナルなIgA の骨髄腫の患者さんのパターンです。それからこれが肝硬変症の患者さんのパターンですが幅広く、これは狭いです。それでMMのパターンは一緒なんですが、これをIgA 抗体でイムノフィクセイションしまして、これらを洗浄してCKを染めますと、骨髄腫の患者さんのCKはこう云う風に染まるし、それから肝硬変の患者さんはこういう風に染まりました。つまり、IgA のパターンと同じパターンがCK染色された訳です。



      シンポジウムに戻る